Tratamiento

Blanqueamiento Dental

Una sonrisa más blanca en pocas sesiones. Ofrecemos blanqueamiento clínico en consultorio y blanqueamiento domiciliario supervisado.

Blanqueamiento clínico

¿Qué logramos?

Dientes más blancos en poco tiempo

Resultados visibles en pocas sesiones.

Reducción de manchas

Café, té, tabaco y más.

Aspecto joven y saludable

Sonrisa renovada y luminosa.

Tipos de blanqueamiento

Blanqueamiento Clínico

Realizado en consultorio con tecnología de última generación. Resultados más intensos y rápidos.

Blanqueamiento Domiciliario

Tratamiento personalizado en casa, con férulas hechas a medida y supervisión profesional.

Duración por sesión
1–2 horas
Sesiones
1–3 visitas
Recuperación
Inmediata
Durabilidad
1–2 años
Blanqueamiento domiciliario

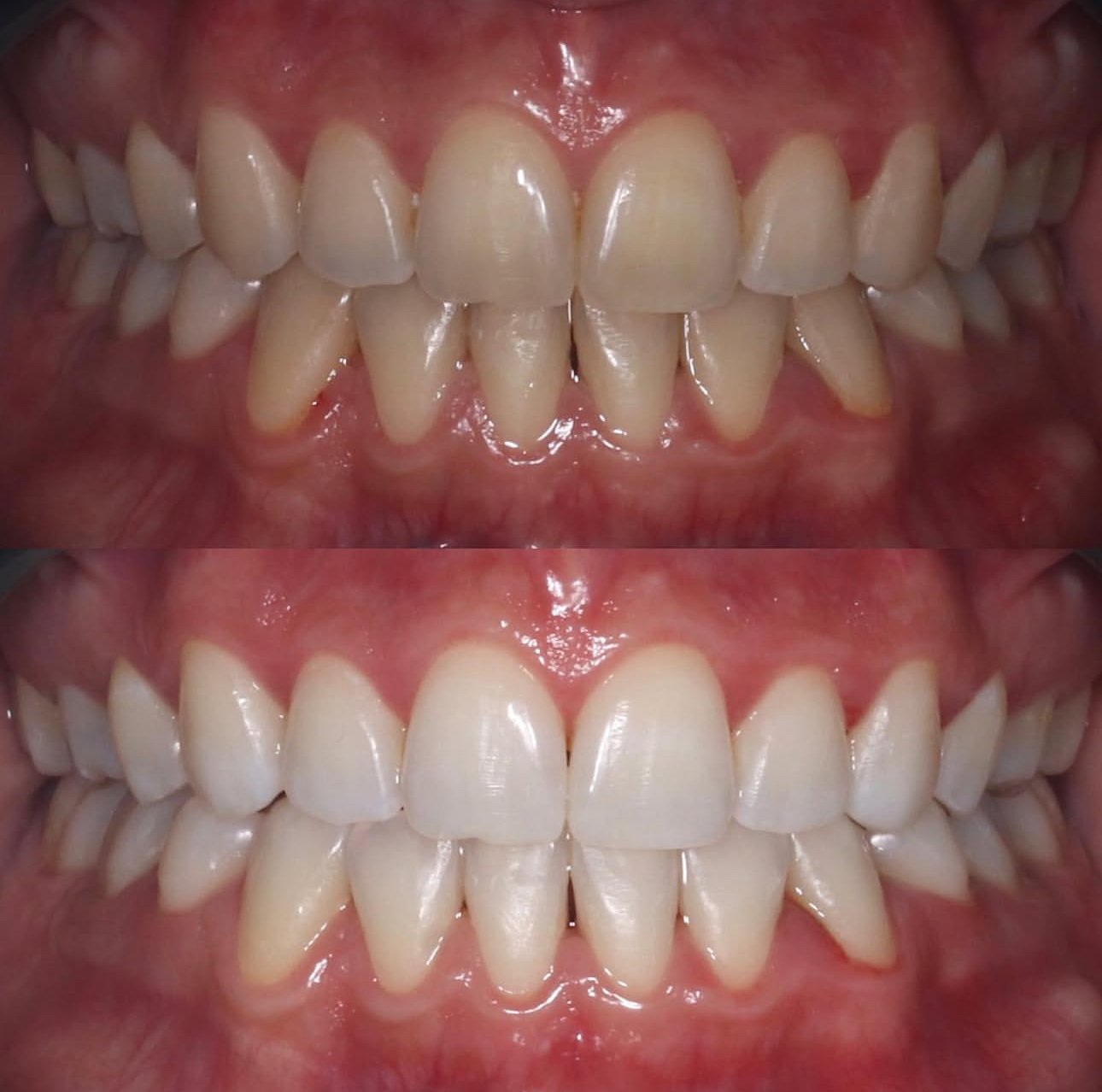
Galería de casos

Resultados reales de blanqueamiento profesional.

Caso clínico 1 Caso clínico 2 Caso clínico 3 Caso domiciliario 1 Caso clínico 4 Caso clínico 5

Preguntas Frecuentes

¿El blanqueamiento dental es seguro?

Sí, es un procedimiento seguro cuando es realizado por profesionales con productos aprobados y protección adecuada de los tejidos blandos. Utilizamos técnicas y materiales de última generación.

¿Cuánto duran los resultados?

Los resultados pueden durar de 1 a 2 años, dependiendo de tus hábitos. Evitar alimentos y bebidas que manchan los dientes, como café, té o vino tinto, ayuda a prolongar los resultados.

¿Causa sensibilidad?

Puede haber sensibilidad transitoria durante el tratamiento, pero es temporal. Utilizamos productos desensibilizantes y ajustamos el protocolo según la sensibilidad de cada paciente.

¿Quién puede realizarse un blanqueamiento?

La mayoría de las personas son candidatas, pero realizamos una evaluación previa para asegurar que tus dientes y encías estén saludables. Hay algunas contraindicaciones que valoramos en consulta.

¿Cuántas sesiones se necesitan?

El número de sesiones varía según el tipo de blanqueamiento y el resultado deseado. El blanqueamiento en consultorio suele requerir 1-2 sesiones, mientras que el domiciliario se realiza durante 2-3 semanas.

¿Qué cuidados debo tener después?

Durante las primeras 48 horas, recomendamos seguir una "dieta blanca" evitando alimentos y bebidas que puedan manchar. Después, mantener una buena higiene oral y visitas regulares al dentista.

¿Listo para una sonrisa más radiante?

Agenda tu consulta para evaluar la mejor opción de blanqueamiento para vos.