Tratamiento

Carillas Dentales

Carillas cerámicas ultrafinas para mejorar forma, color, tamaño y alineación con mínima preparación y resultados naturales.

Carillas cerámicas

Carillas estéticas de cerámica

Tecnología digital para una sonrisa natural y duradera. Escaneamos, diseñamos, probamos y colocamos tus carillas con flujo digital para mayor precisión y previsibilidad.

Porcelana de alta calidad

Estética superior y estabilidad cromática.

Resultados naturales

Translucidez y brillo como dientes reales.

Mínima preparación

Conserva la mayor cantidad de esmalte.

Durabilidad excepcional

Larga vida útil con buenos cuidados.

Indicadas para

  • Dientes manchados o amarillentos
  • Fracturas o desgastes
  • Dientes desalineados o con formas irregulares
  • Espacios entre dientes (diastemas)
Duración
2–3 semanas
Sesiones
2–3 visitas
Recuperación
Inmediata
Durabilidad
10–15 años
Planificación digital de carillas

Nuestro proceso paso a paso

  1. Evaluación inicial: diagnóstico y planificación personalizada.
  2. Preparación dental: mínima intervención para recibir las carillas.
  3. Toma de impresiones: registros digitales o físicos para una fabricación a medida.
  4. Colocación de carillas: adhesión y ajustes finales para un aspecto natural.

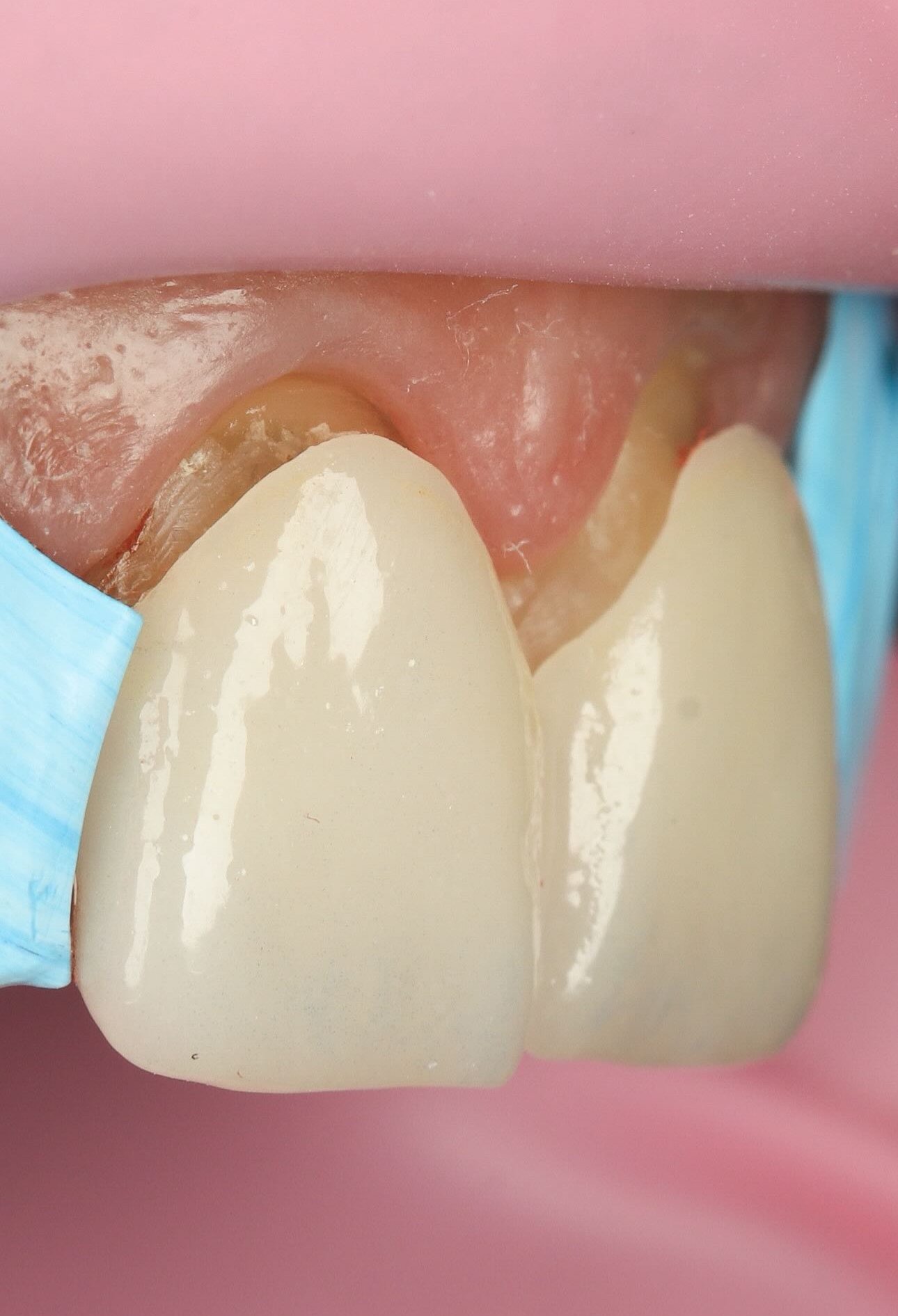
Galería de casos

Transformaciones reales con carillas de porcelana.

Resultado carillas 1 Resultado carillas 2 Resultado carillas 3 Carillas dentales - Caso 4 Carillas dentales - Caso 5 Carillas dentales - Caso 6

Preguntas Frecuentes

¿Las carillas son permanentes?

Las carillas requieren una mínima preparación del diente y, con los cuidados adecuados, pueden durar entre 10 y 15 años. Su durabilidad depende en gran medida de la higiene y los hábitos del paciente.

¿Se ven naturales?

Sí, las carillas se personalizan cuidadosamente en color, forma y tamaño para integrarse perfectamente con tus dientes naturales. Utilizamos materiales cerámicos de alta calidad que imitan la translucidez del esmalte natural.

¿Requieren cuidados especiales?

Las carillas requieren los mismos cuidados que los dientes naturales: buena higiene oral diaria, visitas regulares al dentista para controles y limpiezas profesionales. Es importante evitar hábitos que puedan dañarlas.

¿El procedimiento es doloroso?

No, el procedimiento se realiza con anestesia local y es mínimamente invasivo. La preparación del diente es conservadora y la mayoría de los pacientes no experimentan molestias durante ni después del tratamiento.

¿Cuánto tiempo toma el proceso?

El proceso completo suele requerir 2-3 visitas. La primera para evaluación y planificación, la segunda para preparación y toma de impresiones, y la última para la colocación definitiva de las carillas.

¿Quién es candidato para carillas?

Un paciente candidato es aquel que:

  • Presenta dientes manchados o pigmentados que no mejoran con blanqueamientos.
  • Tiene fracturas, desgastes o fisuras en los dientes.
  • Desea corregir espacios entre dientes (diastemas) de forma estética.
  • Busca mejorar la forma o proporción dental para lograr una sonrisa más armónica.
  • Presenta desalineaciones leves sin necesidad de ortodoncia compleja.
  • Tiene una buena salud bucal general: encías sanas, sin caries activas ni enfermedades periodontales.

¿Listo para transformar tu sonrisa?

Agenda una consulta para evaluar tu caso y diseñar tu nueva sonrisa.