Tratamiento

Odontología General

Cuidado integral para toda la familia: prevención, diagnóstico y tratamientos para mantener una sonrisa sana.

Odontología general

Servicios de odontología general

Limpieza y profilaxis

Prevención de caries y enfermedades de encías.

Obturaciones estéticas

Resinas del color del diente con adhesión avanzada.

Tratamiento de caries

Conservador y mínimamente invasivo.

Urgencias

Atención rápida para dolor o fracturas.

Selladores y flúor

Prevención en niños y adolescentes.

Control y mantenimiento

Controles periódicos y educación en higiene.

Prevención y educación

Promovemos hábitos saludables para reducir el riesgo de enfermedades bucodentales y mantener una sonrisa funcional y estética a largo plazo.

Frecuencia de control
Cada 6 meses
Duración limpieza
45–60 min
Cobertura
Adultos y niños
Urgencias
En el día
Control odontológico

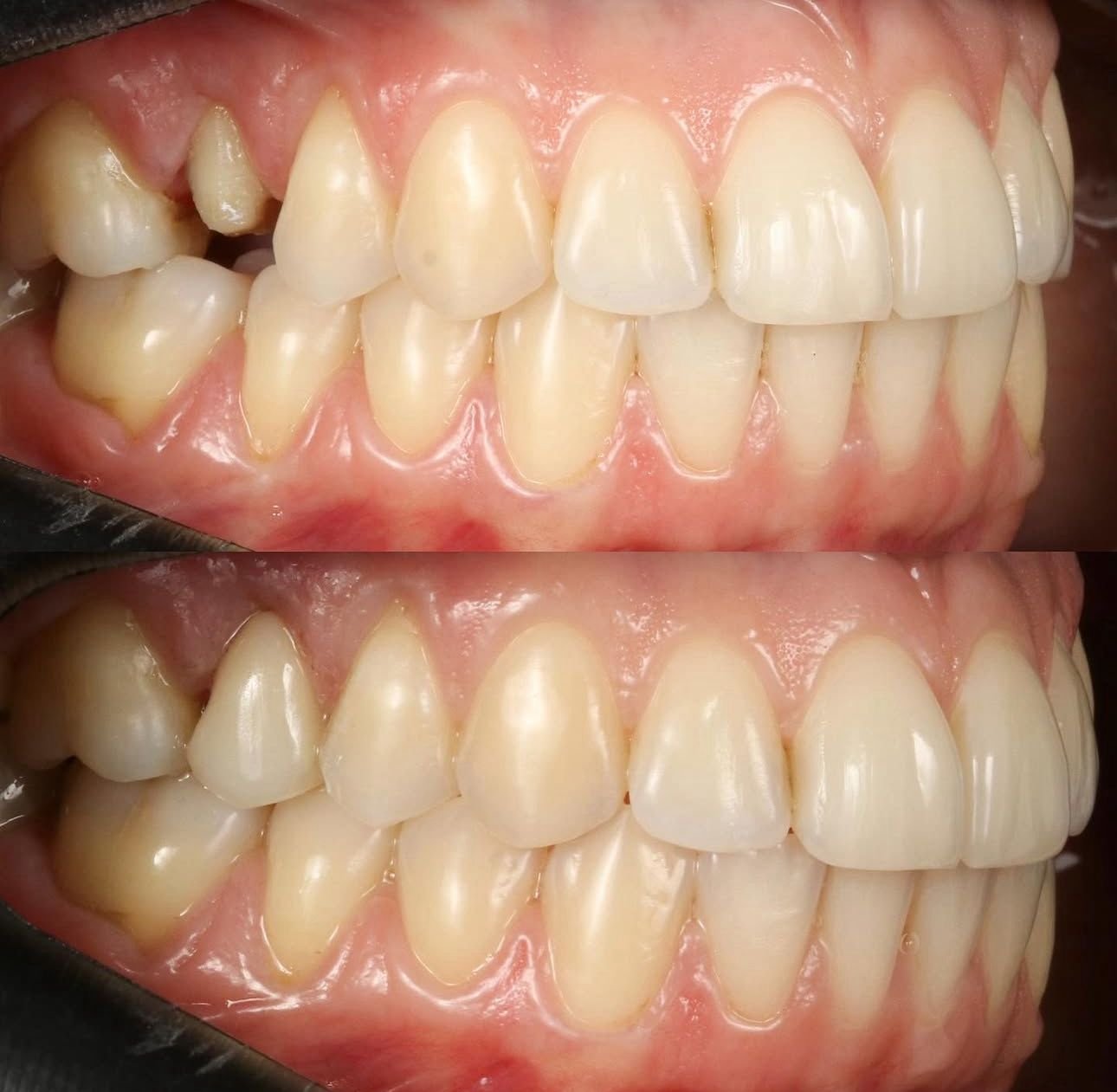
Galería de casos

Algunos de nuestros tratamientos de odontología general.

Tratamiento odontología general 1 Tratamiento odontología general 2 Tratamiento odontología general 3

Preguntas Frecuentes

¿Cada cuánto debo visitar al dentista?

Se recomienda realizar visitas de control y limpieza profesional cada 6 meses. Esto nos permite detectar y tratar problemas de forma temprana, evitando complicaciones mayores a futuro.

¿Qué hacer en caso de urgencia dental?

Contáctanos inmediatamente. Atendemos urgencias en el día y te brindaremos las indicaciones necesarias según tu caso. Estamos preparados para manejar dolor, traumatismos y otras emergencias dentales.

¿Cómo prevenir caries?

La prevención se basa en una buena higiene oral diaria (cepillado y uso de hilo dental), una dieta balanceada baja en azúcares, y visitas regulares al dentista para controles y limpiezas profesionales.

¿Qué incluye una limpieza dental profesional?

La limpieza profesional incluye remoción de placa y cálculo dental, pulido de las superficies dentales, aplicación de flúor si es necesario, y recomendaciones personalizadas de higiene oral.

¿Los tratamientos son dolorosos?

No, utilizamos anestesia local cuando es necesario y técnicas modernas que minimizan las molestias. Nuestro objetivo es que tu experiencia sea lo más cómoda posible.

¿Qué hacer si tengo miedo al dentista?

Entendemos que muchas personas sienten ansiedad dental. Nuestro equipo está capacitado para brindarte un ambiente tranquilo y relajado, explicándote cada procedimiento y respetando tus tiempos.

¿Querés mantener tu sonrisa sana?

Agendá una consulta preventiva y recibí tu plan de cuidado personalizado.